Impianti dentali Varese: soluzioni fisse per il tuo sorriso
Impianti dentali a Varese: una soluzione moderna e sicurA
Se stai cercando soluzioni efficaci e durature per sostituire i denti mancanti, gli
impianti dentali a Varese rappresentano una delle opzioni più avanzate e sicure. Presso Smile Atelier del Sorriso, ogni trattamento implantologico è studiato su misura, con l’obiettivo di ripristinare funzionalità ed estetica del sorriso in modo naturale e armonioso.
testimonianze
Sedazione cosciente abbinato agli impianti dentali
Come funzionano gli impianti dentali: durata e vantaggi
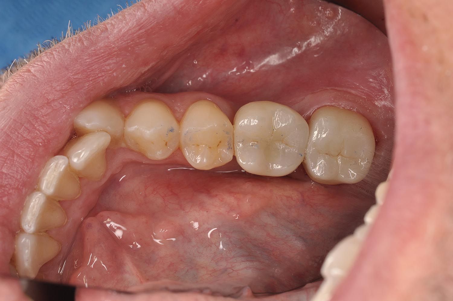
Gli impianti dentali Varese sono una soluzione ideale per chi ha perso uno o più denti e desidera tornare a sorridere senza imbarazzo.
Grazie alle moderne tecnologie, è possibile inserire impianti in titanio perfettamente integrati con l’osso, che fungono da radici artificiali su cui vengono applicate protesi fisse. Questo garantisce stabilità, comfort e un risultato molto simile ai denti naturali.
Uno dei principali vantaggi degli impianti dentali è la loro durata nel tempo. Se mantenuti con una corretta igiene orale e controlli periodici, gli impianti possono durare molti anni, rappresentando un investimento concreto per la salute e la qualità della vita. A differenza delle protesi mobili, gli impianti non si spostano e permettono di mangiare e parlare in totale sicurezza.
Presso Smile Atelier del Sorriso, il percorso implantologico inizia con una
fase di diagnosi approfondita, fondamentale per stabilire se il paziente sia un candidato idoneo a questo tipo di riabilitazione ed evitare possibili incomprensioni lungo il percorso. La valutazione si basa su
esami diagnostici avanzati, tra cui radiografie 3D (CBCT)
che si possono eseguire direttamente in studio e che consentono di analizzare con precisione la quantità e la qualità dell’osso. A questa si affianca la
scansione ottica della bocca, che permette di ottenere un’impronta digitale accurata e di pianificare il trattamento in modo completamente digitale. Grazie a questi strumenti è possibile pianificare la chirurgia guidata, una tecnica minimamente invasiva che consente di trasferire in bocca quanto pianificato al computer, riducendo al minimo il margine di errore e garantendo massima precisione e affidabilità durante l’intervento.
impianti dentali a carico immediato: ritrova il sorriso in TEMPI RAPIDI
Gli impianti dentali a Varese rappresentano una delle soluzioni più avanzate per recuperare un sorriso completo, funzionale ed esteticamente naturale. Presso Smile Atelier del Sorriso, questa innovazione viene portata a un livello superiore grazie agli impianti dentali a carico immediato, una tecnica che consente di applicare una protesi provvisoria fissa nello stesso giorno dell’intervento o, nei casi indicati, entro le successive 48 ore.
L’obiettivo del carico immediato è offrire al paziente un sorriso immediato, evitando lunghi tempi di attesa tra l’inserimento dell’impianto e il ripristino estetico e funzionale dei denti. In questo modo è possibile tornare rapidamente a sorridere, parlare e vivere la quotidianità con maggiore sicurezza e serenità.
Gli impianti a carico immediato sono indicati per pazienti selezionati e richiedono una pianificazione estremamente accurata. Presso Smile Atelier del Sorriso, ogni trattamento inizia con una fase diagnostica approfondita che comprende valutazioni cliniche, radiografie 3D e scansioni digitali della bocca. Questi strumenti consentono di verificare la qualità e la quantità dell’osso disponibile e di stabilire se il paziente sia idoneo a questo tipo di riabilitazione.
Gli impianti vengono realizzati con materiali biocompatibili di ultima generazione e progettati per integrarsi in modo stabile con l’osso. Grazie all’utilizzo della chirurgia guidata e di protocolli minimamente invasivi, è possibile eseguire interventi precisi, riducendo al minimo fastidi e tempi di recupero.
Uno dei principali vantaggi degli impianti dentali a carico immediato è proprio la rapidità del risultato: il paziente non rimane senza denti durante il percorso di cura e può beneficiare fin da subito di una protesi fissa provvisoria altamente estetica. Questo approccio migliora non solo la funzionalità masticatoria, ma anche il benessere psicologico e la qualità della vita.
Per gli impianti dentali a Varese, affidati all’esperienza e alle tecnologie avanzate di Smile Atelier del Sorriso: un approccio moderno e personalizzato per ritrovare il sorriso in tempi rapidi e con risultati naturali e duraturi.
protesi MOBILI
Oltre agli impianti dentali, ci dedichiamo anche alle protesi dentali; in questo ambito, la personalizzazione e l'innovazione guidano ogni nostra decisione: il nostro obiettivo è sempre ripristinare armonia, funzionalità e bellezza nel tuo sorriso. Offriamo un'ampia gamma di soluzioni protesiche, sia fisse che rimovibili, per soddisfare ogni specifica esigenza.
Protesi Rimovibili: le nostre protesi parziali rimovibili rappresentano una soluzione efficace e discreta per ripristinare la funzione masticatoria, fonetica ed estetica della bocca. Dotati di ganci metallici o estetici per un fissaggio sicuro, questi dispositivi sono ideali per chi desidera combinare praticità e funzionalità. Per situazioni che richiedono la sostituzione di intere arcate dentarie, offriamo protesi totali rimovibili, costituite da una base in resina di alta qualità che supporta denti artificiali, progettati per restituire un sorriso naturale e confortevole.
A Smile Atelier del Sorriso ogni soluzione protesica viene attentamente pianificata e realizzata tenendo conto delle tue esigenze individuali, della tua struttura orale e dei tuoi obiettivi estetici.
protesi FISSE
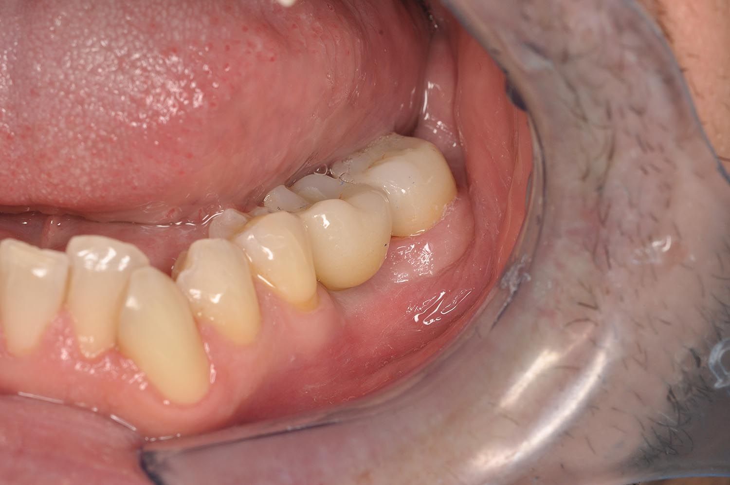
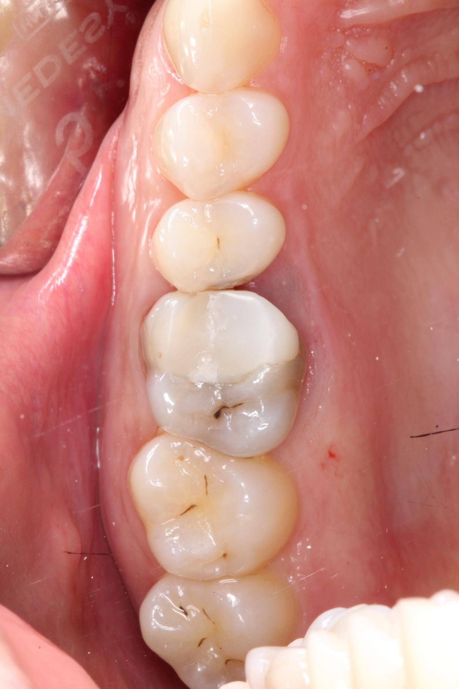
La protesi fissa rappresenta una soluzione avanzata e personalizzata per il ripristino della funzione masticatoria e dell’estetica del sorriso. Presso Smile Atelier del Sorriso, ogni riabilitazione protesica viene progettata con estrema precisione, utilizzando materiali di ultima generazione e tecnologie digitali, per garantire risultati naturali, duraturi e perfettamente integrati con i tessuti orali.
Le protesi fisse comprendono corone e ponti realizzati su misura, indicati per ricostruire denti danneggiati o sostituire elementi mancanti. Questi manufatti vengono progettati per ripristinare correttamente volumi, proporzioni e funzione, assicurando al tempo stesso un’estetica armoniosa. I materiali utilizzati, come ceramiche integrali, zirconio e il disilicato di litio (possiede caratteristiche fisiche e meccaniche paragonabili a quelle del metallo, senza però presentare il problema della colorazione nera), offrono elevata resistenza, biocompatibilità e una resa estetica estremamente naturale, grazie alla capacità di imitare traslucenze e sfumature dei denti naturali.
Un ruolo sempre più centrale è rappresentato dalle riabilitazioni su impianti, in cui la protesi fissa viene ancorata a impianti dentali per sostituire uno o più denti mancanti in modo stabile e definitivo. Questa soluzione consente di ottenere un’eccellente funzionalità masticatoria e una sensazione molto simile a quella dei denti naturali, migliorando significativamente la qualità della vita del paziente.
Ogni trattamento protesico presso Smile Atelier del Sorriso nasce da un’attenta analisi del sorriso e delle esigenze del paziente. L’obiettivo non è solo sostituire o ricostruire i denti, ma creare un
equilibrio tra funzione, estetica e benessere, attraverso soluzioni personalizzate che durano nel tempo.
Faccette dentali: estetica e armonia del sorriso
Le faccette dentali rappresentano una delle soluzioni più efficaci nell’ambito dell’estetica dentale. Si tratta di sottili gusci in ceramica che vengono applicati sulla superficie esterna dei denti per migliorare colore, forma e, in alcuni casi, anche la posizione degli elementi dentali.
Realizzate su misura, le faccette permettono di ottenere un risultato estremamente naturale, grazie a materiali altamente estetici che riproducono fedelmente la luminosità e la traslucenza del dente naturale. Sono particolarmente indicate per correggere discromie, denti usurati, piccoli disallineamenti o spazi tra i denti.
Questo
trattamento è
minimamente invasivo e consente di trasformare il sorriso in modo rapido e duraturo, valorizzando l’armonia del volto. Presso Smile Atelier del Sorriso, ogni intervento viene progettato con attenzione ai dettagli, per garantire un risultato personalizzato, naturale ed equilibrato.
FAQ
Che differenza c’è tra impianti dentali e protesi dentali?
Gli impianti dentali sono radici artificiali inserite nell’osso che sostengono denti fissi, mentre le protesi dentali sostituiscono i denti mancanti e possono essere fisse o mobili, a seconda delle esigenze del paziente.
Gli impianti dentali fanno male?
L’intervento viene eseguito in anestesia locale ed è generalmente indolore.
Grazie al protocollo farmacologico, adottato nel nostro Studio, i pazienti non hanno dolore, solo in alcuni casi un leggero fastidio.
Quanto durano gli impianti dentali?
Gli impianti dentali possono durare molti anni, anche tutta la vita, se mantenuti con una corretta igiene orale e controlli periodici dal dentista.
Le protesi dentali sono stabili e comode?
Le protesi moderne garantiscono un buon livello di comfort. Quelle fisse su impianti offrono maggiore stabilità e una sensazione molto simile ai denti naturali.
Come si mantengono impianti e protesi nel tempo?
È fondamentale seguire una corretta igiene orale quotidiana e sottoporsi a controlli regolari. Le sedute di igiene professionale aiutano a preservare la salute di gengive e impianti.
Quanto dura una faccetta dentale?
Se realizzata correttamente, h a una durata di 10-15 anni.
La faccetta dentale può essere applicata su un dente fragile?
No, perché viene incollata e si integra perfettamente con il dente stesso.
Con la faccetta dentale posso mangiare qualsiasi cosa?
Sì.
Con una riabilitazione protesica, c’è bisogno di precauzioni?
A volte è consigliato indossare un bite notturno per proteggere i denti.
Fissa un appuntamento
Prenota ora una consulenza presso Smile Atelier del Sorriso e scopri la soluzione più adatta per i tuoi impianti dentali a Varese.























































































